平日21時・土日20時まで診療

JR上野駅 広小路口より 徒歩5分
東京メトロ日比谷線 上野駅 3番出口 徒歩1分
東京メトロ銀座線 上野駅 3番出口 徒歩1分
京成線 上野駅より 徒歩7分

あなたの大切な卵と胚培養(受精、そして分割期胚から桑実胚、胚盤胞)

あなたの大切な卵と胚培養(受精、そして分割期胚から桑実胚、胚盤胞)


これから体外受精の要となる胚培養のお話をします。体外受精は生殖医療とも呼ばれ、精子と卵子を体外で受精させ、育った胚をお母さんの子宮に戻して妊娠を待つ治療法です。はじめに採精と採卵で精子と卵子を用意し、受精、胚培養、胚移植と進めます。その中でも特に大きな意味を持つのが胚培養で、ART施設には必須となる培養室での仕事です。現在、よしひろウィメンズクリニックでは培養室の小野寺を中心に10名のスタッフが、患者さまご夫婦の大切な卵をお預かりし、日々培養業務にあたっています。

胚培養に先駆けては、採卵時に検卵して得た卵子と採精精液から得た調整済の選別精子を準備して、受精作業をします。体外での受精は、体外受精(IVF)と顕微授精(ICSI)があり、体外受精(IVF)は、ディッシュ上の卵子に精子を注いで受精を待つ方法でふりかけ法とも言います。顕微授精(ICSI)は、顕微鏡下で卵子に直接1個の精子を針様の細い管(ピペット)で注入する方法です。ここまでの流れにおいても、先進技術を含め新しい技術が使われることもあります。


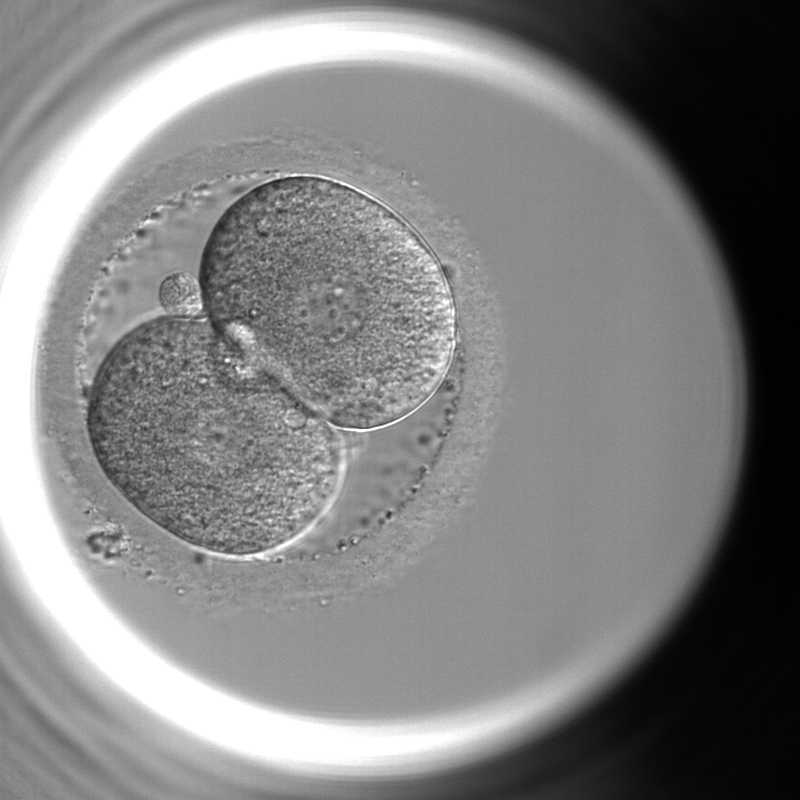
受精すると、父方の染色体(DNA)と母方の染色体(DNA)を合わせ持つ受精卵(胚)ができます。そのため、受精はこの2つの核があることで確認します。そしてこれが培養1日目の胚です。胚は受精後、順調であれば初期分割胚(培養2~3日目)、桑実胚(培養4日目)、胚盤胞(培養5〜6日目)に成長します。どの段階でも胚移植は可能ですが、胚盤胞で一旦凍結保存し、お母さんの整った月経周期に融解して戻す方法が、妊娠確率も高いことから一般的になってきています。当院でも、妊娠に繋がる可能性が高まるよう凍結融解胚盤胞移植を行っています。

胚の成長/受精ー分割期(初期胚)ー桑実胚ー胚盤胞    


妊娠を目指し、少しでも着床率を高めるためには質の良い精子と卵子を選別して受精させ、良好胚を子宮にタイミング良く胚移植することが大切です。これらの流れは普通の妊娠時には、お母さんのお腹の中で進む事象です。そのため、培養室(培養環境)はお母さんのお腹の中に近い環境に保たれ、胚にかかるストレスをいかに減らすかが胚培養士の課題でもあり、その努力が成績にも影響します。

良好胚ってどのような胚?

受精は、精子と成熟した卵子が出会うことで起きます。これら精子と卵子、受精卵は生殖細胞と呼ばれ、不妊治療・生殖補助医療の現場では患者さんご夫婦から預かる大切な命のもととなる(可能性のある)ものです。それを少しでも確実に新しい命に結びつけるために、それぞれの生殖細胞、卵子、精子、受精卵=胚の選別方法には最新の注意を払っています。

その選別法により育った良好な胚を選択して移植に繋げられるようにしていくのが培養室での大きな役割になります。

実際にどのようなものを良好とし、その選別はどのように行われているのかをみていきましょう。

精子選別

精子は大きさや形状、運動性などで評価します。精液検査では、量、精子の数、運動率、形(奇形率)などを測定します。これにはWHOの基準値が参考とされますが、基準数値に満たなくても心配ありません。実際、基準値以下の人でもお子さんを設けていらっしゃる方はたくさんいますし、生殖医療でカバーができる時代です。

顕微授精(ICSI)の際にはどのような精子を受精に用いるかも注意が必要です。ダメージを受けた精子が受精した場合、卵子の質による影響だけなく胚の発育や生児獲得に影響を及ぼすとの報告もあるからです。私たちは、IMSI/強拡大顕微鏡を用いた形態学的精子選択術を取り入れ、高倍率顕微鏡を使用して精子の形態をより詳細に観察しています。これにより、頭部に空胞がある形態異常を持つ精子を除外し、質の良い精子を選別することができます。結果として、良好胚盤胞への成長、さらには妊娠率の向上が期待されます。この技術は先進医療に属しますが、よしひろウィメンズクリニックでは、熟練した培養士の目視技術とともに上記精子選別を行います。

●精子

卵子の質

卵子は卵巣の中の原始卵胞内にあり、月経周期の中で卵胞の成長とともに成熟します。月経周期には卵胞ホルモン(エストロゲン)と黄体ホルモン(プロゲステロン)の2種類の女性ホルモンが大きく関係し、その分泌バランスの変化で約1カ月かけて、卵胞期、排卵期、黄体期、月経期が繰り返されます。卵子は、もともとお母さんのお腹の中に育った女の子が胎児の段階で一生分を持って生まれ、それ以降は数を増やすことはなく、月経周期ごとに数を減らしていきます(精子は日々造精されていますから、そこが男性と女性の大きな違いです)。

卵胞期には排卵に向けて左右それぞれの卵巣に10個ほど卵胞が大きくなりはじめ、ホルモンに最も反応して育った卵胞が(16ミリ~20ミリ)卵巣から弾けて飛び出します。体外受精では、採卵に向けて複数の卵子を得るために排卵を抑制して、卵胞の成長を促すとともに適時排卵を促す薬剤を使用する卵巣刺激調節を必要に応じておこないます。得られる卵子は成熟していることが受精する際の条件となります。今の培養技術では未成熟卵子の体外培養をおこなうこともでき、患者さまの状態に合わせ、様々な方法で卵子が回収されます。

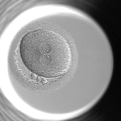
●成熟卵子(MII期)

実際の画像。

こうして得られた良好な精子と成熟卵子を合わせることで受精が起きます。よしひろウィメンズクリニックでの受精率は、体外受精で71%、顕微授精で84%です(2024年)。

受精した卵は5~6日かけて分割期胚、桑実胚、胚盤胞と成長して、移植された後に順調であれば着床して妊娠し、最終的に赤ちゃんとして生まれてきます。そこに結びつく胚が本当の意味で良好胚といえるかもしれません。しかしそこまでの結果を予め予測したり断言できないのが不妊治療で、女性の妊娠・出産です。

そこで培養室では最善を尽くして胚の観察をしながら評価グレードを設けて、より妊娠する可能性が高いとされるグレードの良い胚を医師と確認し合い、医師による胚移植が行われます。



●受精確認 

受精確認は体外受精(IVF)・顕微授精(ICSI)の翌日に、顕微鏡で卵子を観察して行います。正常受精の場合、卵子の細胞質内に卵子由来と精子由来の核がそれぞれ1つずつ、合計2つの前核(PN)が確認できます。

この前核の有無や数で正常受精、異常受精、未受精を判定し、異常受精卵(多精子受精など)や未受精卵を避けて胚移植に用います。

よしひろウィメンズクリニックでは、タイムラプス型培養器の導入により、受精卵に与えるストレスをできるだけ軽減し、培養庫内から得られる受精の様子(タイムラプス撮画)を観察に取り入れています。

胚の分割成長の評価

胚培養士は、胚の発育段階に応じて顕微鏡で胚を観察し、形態学的な評価としてグレード(等級)を設け、移植胚に備えています。

胚のグレード評価は世界で広く使われている基準を準拠し、分割期胚(初期胚)で用いられるヴィーク分類法と胚盤胞で用いるガードナー分類にておこなっています。

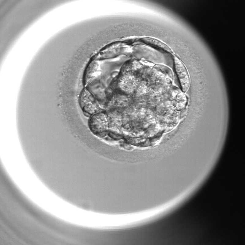
初期胚の評価

受精後2~3日目の胚を対象に、適切に2細胞、4細胞、8細胞と分裂が進んでいるか、分裂によって生じた割球(細胞)の大きさが均等であるか、胚に生じる細胞の破片(フラグメント)の量がどうかの3つを指標に評価をして総合的にグレードを決定します。

良好胚は、細胞の数が受精日数に見合っていて、細胞の大きさが均一で、フラグメントが少なく、きれいに分割されている胚を指します。

良好胚の評価には、よしひろウィメンズクリニック上野院培養室でのオリジナル評価方法を合わせ、Veeck(ヴィーク)分類を用いておこない、この方法ではグレードの数字が小さいほど良好な胚とし、胚盤胞まで成長する可能性が高いと判断しています。

●Veeck分類法 

グレード1
割球(細胞)の大きさは均等でフラグメントはない。

 

グレード2
割球(細胞)の大きさは均一でも、フラグメントがわずかに見られる。

 

グレード3
割球(細胞)の大きさが不ぞろいで均一ではなく、フラグメントは、なかったりわずかに見られたりする場合。

 

グレード4
割球(細胞)の大きさが不均一で、フラグメントが25~50%程見られる。

 

グレード5
全体の約50%以上がフラグメントで、割球(細胞)の数がいくつあるのかわからない。

 

分割期での胚移植は、採卵2日目から3日目の胚を用い、グレードの確認をして良好な胚から、あるいは適切な胚を移植に使用します。一般的にはグレードが高いほど染色体の異常も少ないことが多く、胚盤胞まで育つ可能性も高いと判断し、逆にグレードが低いほど胚盤胞に至る前に発育が止まってしまう可能性が高いと判断します。ただ、グレードは妊娠を約束するものではなく、あくまでも体外受精の成功確率を上げるために用いられるものであり、低いグレードの胚で妊娠している人もいます。また、妊娠が成立した後は、胚のグレードが胎児の発育異常に影響することはありません。

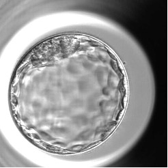
胚盤胞のグレード

採卵から5~6日間の培養で成長した胚盤胞は、体外で培養できる最後の段階で、順調に発育していれば移植後の妊娠確率が高い胚です。妊娠が期待できるからこそ、胚盤胞のグレードチェックは大切な意味があり、とても重要です。とくに複数個の胚盤胞ができた際、どの胚から移植するか、胚培養士が最も気を使うところでもあります。そのため、一つひとつの胚の状態をしっかり観察確認し、グレード評価に備えて判断・判定します。


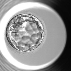
胚盤胞の特徴

胚盤胞になると、分割胚とは明らかに違い、胚には将来赤ちゃんになる内部細胞塊と将来胎盤になる栄養外胚葉があり、より生命の発生に近づいた構造を見せるようになります。評価はこれらの細胞を胚培養士が見た目での形態観察でおこない判定しています。


胚盤胞の様子
受精後5~6日目

胚盤胞の評価  

胚盤胞のグレード評価は、国際的に標準とされるガードナー分類(Gardner分類)法を用いておこないます。 

受精後5~6日目の胚盤胞を対象に、胚盤胞がどれだけ成長して膨らんでいるかをみる拡張度ステージ、将来的に胎児となる部分の細胞の数や密度をみる内細胞塊ICM評価、将来的に胎盤となる部分の細胞=栄養外胚葉TEの状態、この3つの要素(数字と2つのアルファベット)で評価判定します。 

 <評価は内部細胞塊と栄養外胚葉の発育をそれぞれ3段階でおこなう>

拡張度(ステージ)の評価
胚盤胞がどれだけ成長して膨らんでいるかを評価

内細胞塊(ICM)の評価: 
将来的に胎児となる部分の細胞の数や密度を評価

栄養外胚葉(TE)の評価: 
将来、胎盤となる部分の細胞の状態を評価 

胚盤胞のGardner分類

1. 胚盤胞の成長度(数字:1~6) 

Blast 1:初期胚盤胞
 胚全体に対する胞胚腔(ほうはいこう)の大きさが半分未満。

Blast 2:中期胚盤胞
 胞胚腔が半分以上。

Blast 3:完全胚盤胞
 胞胚腔が胚全体に広がり、胚の体積と同じくらいになっている。

Blast 4:拡張期胚盤胞
 胞胚腔が胚の体積以上に膨張し、透明帯( zona pellucida)が薄くなっている。

Blast 5:孵化中胚盤胞
 透明帯から一部が飛び出し始めている(ハッチング)。

Blast 6:完全孵化胚盤胞
 透明帯から完全に抜け出している。

2. 内部細胞塊(ICM)の質(最初のアルファベット:A~C) 

 A: 細胞が密に集まり、多数の細胞が確認できる。
 B: 細胞の塊がやや不完全または細胞数が少ない。
 C: 細胞の塊が少なく、まばらな状態。

3. 栄養外胚葉(TE)の質(2番目のアルファベット:A~C) 

 A: 細胞がきれいに並び、密に接着している。
 B: 細胞の並び方が不均一、またはまばらになっている。
 C: 細胞が少なく、一部に隙間が見られるなど、状態が良くない。

胚盤胞のGardner分類  

Blast1

初期胚盤胞

 胞胚腔ができ始めているが全体の50%未満の状態。

Blast2

胚盤胞

 胞胚腔が50%以上まで大きくなっている。

Blast3

完全胚盤胞

 胞胚腔が全体に広がっている。

Blast4

拡張胚盤胞

 胞胚腔が拡大して透明帯が薄くなっている。

Blast5

孵化中胚盤胞

 栄養外胚葉が孵化して透明帯の外に出始める。

Blast6

脱出胚盤胞

 栄養外胚葉が透明帯から完全に脱出している。 

具体的なグレードの例 

 グレードは、例えば「4AA」のように表記されます。 

4AA

4(拡張期): 胚が十分に拡張している。
A(ICM): 内部細胞塊が良質。
A(TE): 栄養外胚葉も良質。

 形態学的に最も質の良いとされるグレードです。 

それぞれについて詳しく見ていきましょう。
内部細胞塊がA、栄養外胚葉がAの「AA」が良好な状態で、「CC」は移植や凍結の対象にはなりません。

「AB」「BB」であれば、着床・妊娠に至る可能性は十分にあります。

内部細胞塊と栄養外胚葉の評価

移植する胚盤胞のグレード

複数の胚盤胞が得られたとき、どの胚から移植するかは、胚培養士が胚盤胞を総合的に評価し、医師とともに判定します。この基準となるのが胚盤胞のグレードで、グレードが良く状態の良い胚盤胞を移植することで、着床・妊娠につながりやすくなります。


胚盤胞のグレードの例

4AB

胚盤胞がBlast4、内部細胞塊はA、栄養外胚葉はBという評価です。拡張胚盤胞で、内部細胞塊・栄養外胚葉の状態がともに良い状態といえます。

5BB

胚盤胞がBlast5、内部細胞塊はB、栄養外胚葉はBという評価です。孵化中胚盤胞で、内部細胞塊・栄養外胚葉の状態がともに良い状態といえます。


グレードの評価はクリニックごとに違いがあります。大筋での変わりはないかと思いますが、経験などから独自の評価が加えられたりしています。一般的にはグレードBB以上で、よりAAに近いものを良好な胚として移植もしくは凍結に用います。

ただ、ここでのグレードもCであっても妊娠に至ることはあり、分割期胚と同じくあくまでも目安とするのが望ましいです。また、患者さまの年齢なども胚の状態に大きく関わるため、胚盤胞を評価する際はそれらを加味した判断と治療が必要となります。

このように胚の分割成長は主に形態学的な評価でおこない、最近では胚培養にタイムラプス型(撮画機能付)インキュベーターが用いられることも多く、そこで得られる画像やさらにAI技術による評価も参考にされることがあります。また、良好胚を移植しても着床しないケースや流産を繰り返してしまう症例においては遺伝子レベルでの検査として着床前遺伝子検査(PGT)で評価することもあります。これらの評価が、体外受精(ART)における胚移植の成功率を高めるためにとても重要な役割を果たします。 

グレードと妊娠率 

一般的に、数字が大きいほど、またアルファベットがAに近いほど、着床・妊娠の可能性が高いとされていますが、グレードはあくまで形態学的評価であり参考です。グレードに関する疑問や不安がある場合は、ぜひ私たち医療スタッフに相談ください。 

培養室からのメッセージ  貴院培養士からのメッセージ

 培養室では、私たちの技術が一人でも多くの患者様のご妊娠・出産に繋がるよう、手間を惜しまず丁寧な胚培養を心がけています。最新の機器、手法を取り入れるとともに、一人一人が患者様の人生を左右する重みのある仕事をさせていただいていることを忘れず、培養室のクオリティーを保つ意識を共有しています。また、当院では普段なかなか内部が見えない培養室を開かれたものにするため、「見える化」の窓をクリニック通路に設置しました。卵がどのように受精・培養されているか、ご覧いただける様になっています。

 最近では、培養に関するご理解を深めていただけるよう、培養士が説明する「たまごグレード外来」を開始しました。培養の流れと共に今後の診療予定を確認したり、振り返りをすることで、不安を解消できるようわかりやすい説明を心がけています。一人でも多くの方が結果に繋がるよう、技術の研鑽や知識のアップデートを続けてまいります。

胚培養の費用

  保険診療自費診療(税込)
受精卵培養1個13,500円63,000円(個数に関わらず)
 2個~5個18,000円
 6個~9個25,200円
 10個以上31,500円
胚盤胞※胚盤胞に向けた管理加算1個4,500円21,000円(個数に関わらず)
 2個~5個6,000円
 6個~9個7,500円
 10個以上9,000円

タイムラプス:17,500円

PAGE TOP